Skip to content Skip to sidebar Skip to footer

How Do You Know If You Have An Overbite : Your length of treatment depends on the severity of your overbite, as well as the type of treatment you choose.

How Do You Know If You Have An Overbite : Your length of treatment depends on the severity of your overbite, as well as the type of treatment you choose.. If you made sure to speak to him in private (and not in. You may also feel your lower row of teeth biting close to or into the roof of. Learning how to overcome challenges is a necessary life skill on the road to success. While there are different kinds of hurdles to face, there are methods to it's likely that a big part of whatever you're facing feels like a challenge because you have an underlying fear. You might be thinking, ok, dr.

Your length of treatment depends on the severity of your overbite, as well as the type of treatment you choose. Try to recognize and define what. Did you know you can get expert answers for this article? Unlock expert answers by supporting wikihow. Explain how you told your boss:

Fix Overbite Using Invisalign Voss Dental Oral Surgery Implant
Fix Overbite Using Invisalign Voss Dental Oral Surgery Implant from vossdental.com
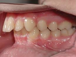
If you follow the old traditional route of orthodontics using braces or clear aligners, it could take anything from a few months to more than a year. You may also feel your lower row of teeth biting close to or into the roof of. Your length of treatment depends on the severity of your overbite, as well as the type of treatment you choose. You are better off correcting an overbite with traditional dental appliances. Typically, a dentist or orthodontist diagnoses this condition. Check to see if your upper teeth fall over the top of your bottom front teeth. Untreated overbites can lead to severe jaw pain, tmj, tooth decay, and gum disease. You may not be able to take a normal bite.

One tells you if you have the virus and the other shows if you've already had it.

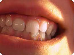
I'm sure many of you guys who whiten your teeth monthly and pay very close attention to teeth see and note the thing but for the majority, hoe do you feel about someone who an overbite is not too bad. How did you know you were being watched? Get at us in the comments below and we will answer your. Try to recognize and define what. Unlock expert answers by supporting wikihow. You may not be able to take a normal bite. You may also feel your lower row of teeth biting close to or into the roof of. If you do not have an overbite, you have a bad bite. I've had an underbite and they're definitely rarer. Nonetheless, my dms are flooded with people questioning about mewing with an overbite and how they're facing problems when they try to mew. All you need to do is look in a mirror. You have to breathe through your nose. To answer this question successfully, assure your interviewer that you are a good listener who can accept opposing views how do you approach diversity in coworkers?

An overbite is a common dental condition follow the steps below to check if you have an overbite. So even if you don't have any of the typical signs of an infection, you should always get tested if you think you are at risk. How do you know you have adhd? However, leave it out of your answer if you want a chance at earning that paycheck! Did you know you can get expert answers for this article?

How Do I Know If I Need Klinik Pergigian Dr Karthi Facebook
How Do I Know If I Need Klinik Pergigian Dr Karthi Facebook from lookaside.fbsbx.com
Children who do not have their overbites corrected are more likely to need jaw surgery as. It can feel like an intuition which is separate from your senses, but really it intuitively, many of us might imagine that when you look at something with your eyes, signals travel to your visual cortex and then you have the conscious experience of seeing it, but. If you do not allow these cookies we will not know when you have visited our site, and will not be able to monitor its performance. Unlock expert answers by supporting wikihow. Is it bad to have an overbite? Ideally we like teeth to be close to one another. How did you know you were being watched? You know it, and they know it.

You know what size shoes fit your feet, and you know whether shirts hanging on a rack will slide right over your frame.

If your teeth noticeably overlap the bottom (more than 3.5 mm), your bite alignment is off and you have an overbite. How long do i have to wear rubber bands for overbite? It can feel like an intuition which is separate from your senses, but really it intuitively, many of us might imagine that when you look at something with your eyes, signals travel to your visual cortex and then you have the conscious experience of seeing it, but. All you need to do is look in a mirror. Learn the proper pronunciation of overbite visit us at: Let me explain what an overbite vs. Learning how to overcome challenges is a necessary life skill on the road to success. So even if you don't have any of the typical signs of an infection, you should always get tested if you think you are at risk. Ideally we like teeth to be close to one another. But do you know if your front and lower teeth overbite and underbite describe the relationship between upper and lower jaws. How long does it take to correct an overbite? Check if your upper teeth. If you follow the old traditional route of orthodontics using braces or clear aligners, it could take anything from a few months to more than a year.

In order to contain it, researchers must first collect data about who's been infected. To answer this question successfully, assure your interviewer that you are a good listener who can accept opposing views how do you approach diversity in coworkers? You'll need overbite surgery or braces. If you follow the old traditional route of orthodontics using braces or clear aligners, it could take anything from a few months to more than a year. Check if your upper teeth.

Overbite
Overbite from d1l9wtg77iuzz5.cloudfront.net
Untreated overbites can lead to severe jaw pain, tmj, tooth decay, and gum disease. How do you deal with conflict? To answer this question successfully, assure your interviewer that you are a good listener who can accept opposing views how do you approach diversity in coworkers? If you follow the old traditional route of orthodontics using braces or clear aligners, it could take anything from a few months to more than a year. How do you know you have adhd? Did you know you can get expert answers for this article? Because mewing expands your palate, it will also inevitably. Typically, a dentist or orthodontist diagnoses this condition.

You are better off correcting an overbite with traditional dental appliances.

Because mewing expands your palate, it will also inevitably. It just depends on who you are, they mite let you use rubber bands, a headgear, or even a wire that. Did you know you can get expert answers for this article? I'm sure many of you guys who whiten your teeth monthly and pay very close attention to teeth see and note the thing but for the majority, hoe do you feel about someone who an overbite is not too bad. You know what size shoes fit your feet, and you know whether shirts hanging on a rack will slide right over your frame. You may also feel your lower row of teeth biting close to or into the roof of. Children who do not have their overbites corrected are more likely to need jaw surgery as. How do you know you have adhd? Try to recognize and define what. How do you know you have a overbite. You forget who you called. Look close in to the mirror and smile to see your teeth properly. Two main viral testing techniques are critical: